Răng ngả vàng khiến nụ cười thiếu sức sống và dễ làm bạn mất tự tin mỗi khi mở lời. Cảm giác ngại ngùng khi cười không chỉ ảnh hưởng giao tiếp mà còn khiến tổng thể gương mặt kém rạng rỡ.
Vì muốn lấy lại vẻ sáng trong tự nhiên, nhiều khách hàng đã tìm đến Nha khoa Ratio để tẩy trắng răng và nâng tông màu răng an toàn. Bài viết dưới đây, hãy cùng chúng tôi tìm hiểu chi tiết về phương pháp này nhé.

Tẩy trắng răng là gì?
Tẩy trắng răng là phương pháp giúp làm sáng màu răng, cải thiện cải thiện tình trạng xỉn màu hoặc ố vàng bằng cách dùng các hợp chất oxy hóa kết hợp với năng lượng ánh sáng phá vỡ các phân tử gây nhiễm màu bám trong men và ngà.
Đây được xem là một lựa chọn an toàn vì không tác động vào men răng hay cấu trúc tự nhiên của răng. Phương pháp này không cần mài răng, không can thiệp sâu như bọc sứ hay cấy ghép nên gần như không gây biến chứng và phù hợp với đa số khách hàng muốn cải thiện màu răng.

Có nên tẩy trắng trăng không?
Chỉ sau một lần tẩy trắng, khách hàng sẽ cảm nhận được răng trắng sáng hơn nhờ các phân tử gây xỉn màu được loại bỏ khỏi men và ngà, giúp nụ cười trông tươi và rạng rỡ hơn.
Vì thế những ai cảm thấy thiếu tự tin do răng bị ngả màu có thể cân nhắc tẩy trắng răng để cải thiện diện mạo răng của mình. Phương pháp này mang đến nhiều lợi ích nổi bật như:
- Loại bỏ các vết ố vàng trên răng: Tẩy trắng răng giúp làm sạch những vết ố vàng tích tụ lâu ngày giúp bề mặt răng đều màu hơn so với trước.
- Cải thiện màu sắc răng: Sau khi các phân tử màu được loại bỏ, răng sẽ trở nên sáng màu hơn, bật từ 2- 3 tông tự nhiên.
- Tự tin hơn khi giao tiếp: Một hàm răng sáng màu khiến nụ cười trở nên nổi bật và tự nhiên hơn, giúp khách hàng thoải mái và cảm thấy tự tin hơn khi nói cười.
- Không tác động đến cấu trúc răng: Khác với làm răng sứ hay veneer, tẩy trắng răng hoàn toàn không cần mài răng. Toàn bộ quá trình chỉ tác động đến sắc độ của men răng, chứ không làm thay đổi hình thể hay cấu trúc của răng thật.

Lưu ý: Tẩy trắng răng tại nơi kém uy tín hoặc dùng bộ dụng cụ mua nhanh trên mạng dễ khiến men răng yếu đi, nướu đau rát và màu răng không cải thiện bao nhiêu. Nếu bạn thật sự muốn sở hữu nụ cười sáng và an toàn, hãy để bác sĩ có chuyên môn trực tiếp kiểm tra và chọn phương pháp phù hợp cho bạn.
Đối tượng chỉ định và chống chỉ định tẩy trắng răng
Tuy tẩy trắng răng có thể giúp cải thiện màu răng trong thời gian ngắn nhưng không phải ai cũng phù hợp để thực hiện phương pháp này.
Dưới đây là những đối tượng chỉ định và chống chỉ định tẩy trắng răng:
Đối tượng chỉ định
Tẩy trắng răng là giải pháp lý tưởng cho những ai trên 18 tuổi đang mong muốn cải thiện màu sắc răng. Đặc biệt là trong những trường hợp sau:
- Răng có màu tự nhiên xỉn hơn mong muốn và không đạt độ sáng như kỳ vọng.
- Răng sậm màu theo thời gian vì lớp ngà phát triển dày hơn, trong khi men răng giảm khả năng phản xạ ánh sáng.
- Răng vẫn chắc khỏe nhưng lại xuất hiện tình trạng ố vàng do vệ sinh chưa đúng cách hoặc do nhiễm màu từ thức ăn, nước uống.
- Bề mặt răng đổi màu do mảng bám tích tụ lâu ngày, đặc biệt là khi có vôi răng bám quanh cổ răng.

Đối tượng chống chỉ định
Phương pháp tẩy trắng răng không được khuyến nghị trong các trường hợp sau:
- Trẻ em dưới 16 tuổi, phụ nữ mang thai hoặc cho con bú.
- Răng đã phục hình như răng sứ hoặc răng đã bọc vật liệu thẩm mỹ.
- Răng đang bị sâu hoặc có các tổn thương liên quan đến sâu răng.
- Người gặp vấn đề về nha chu như viêm nướu, sưng nướu hoặc tụt nướu.
- Cổ răng bị mòn khiến răng nhạy cảm và dễ kích ứng khi tiếp xúc chất tẩy.
- Răng thiếu men ở mức độ nặng.
- Người có tiền sử dị ứng với thành phần trong thuốc tẩy trắng.
Lưu ý: Để đảm bảo an toàn, bạn nên tham khảo ý kiến của bác sĩ chuyên môn để xem răng mình có phù hợp thực hiện tẩy trắng không.
Các phương pháp tẩy trắng răng
Hiện nay, có rất nhiều phương pháp tẩy trắng răng khác nhau, tuy nhiên tẩy trắng răng tại nha khoa hoặc tẩy trắng tại nhà dưới sự giám sát của bác sĩ là 2 lựa chọn an toàn và mang lại kết quả rõ rệt nhất.
Tẩy trắng răng tại nha khoa
Phương pháp tẩy trắng răng tại nha khoa sử dụng gel có nồng độ cao kết hợp với ánh sáng laser hoặc đèn LED để kích hoạt hoạt chất, giúp răng trắng lên nhanh chóng.
Đây được xem là kỹ thuật mang lại hiệu quả cao nhất vì toàn bộ quá trình được thực hiện dưới sự giám sát trực tiếp của bác sĩ, đảm bảo an toàn và kiểm soát tốt cảm giác ê buốt.
Thời gian điều trị thường chỉ khoảng 60 phút, phù hợp cho những khách hàng muốn đạt kết quả ngay trong buổi đầu.

Tẩy trắng răng tại nhà
Tẩy trắng răng tại nhà dưới sự hướng dẫn và theo dõi của bác sĩ mang đến sự thuận tiện cho khách hàng mà vẫn đảm bảo an toàn.
Tùy vào tình trạng răng và nhu cầu cá nhân mà khách hàng có thể lựa chọn phương pháp tẩy trắng răng bằng máng hoặc miếng dán.
- Tẩy trắng răng tại nhà bằng máng tẩy
Với phương pháp này, bác sĩ sẽ lấy dấu răng để thiết kế bộ máng vừa khít với răng của từng khách hàng, giúp gel tẩy trắng phân bố đều và không tràn ra nướu.
Khách hàng sẽ tự bôi gel vào máng và đeo tại nhà theo hướng dẫn, thường trong vài giờ mỗi ngày hoặc qua đêm tùy loại gel.
- Tẩy trắng răng tại nhà bằng miếng dán
Tẩy trắng răng bằng miếng dán sử dụng các dải film mỏng đã được tẩm sẵn gel tẩy trắng, chỉ cần dán trực tiếp lên bề mặt răng trong thời gian quy định mỗi ngày.
Tuy nhiên hiệu quả thường nhẹ nhàng hơn so với máng tẩy và dễ gây kích ứng nếu chọn sản phẩm có nồng độ gel không phù hợp.
Quy trình tẩy trắng răng chuẩn Y Khoa tại nha khoa Ratio
Khi khách hàng đến tẩy trắng răng tại Nha khoa Ratio, sẽ được đội ngũ bác sĩ chuyên môn cao thăm khám toàn diện và tư vấn kỹ lưỡng theo quy trình riêng biệt của phòng khám.
Mỗi bước đều được thiết kế để đánh giá chính xác tình trạng men răng, mức độ ố vàng và khả năng đáp ứng tẩy trắng của từng khách hàng.
- Bước 1: Bác sĩ thăm khám và tư vấn
Bác sĩ sẽ thăm khám tổng quát toàn bộ khoang miệng, bao gồm việc kiểm tra màu răng hiện tại, đánh giá men răng, nướu và các vấn đề liên quan đến sức khỏe răng miệng để xác định khách hàng có đủ điều kiện để thực hiện tẩy trắng hay không và lựa chọn phương pháp phù hợp nhất cho từng trường hợp.
- Bước 2: Vệ sinh răng miệng cho khách hàng
Trước khi tiến hành tẩy trắng, bác sĩ sẽ vệ sinh răng miệng cho khách hàng, bao gồm cạo vôi và loại bỏ mảng bám trong khoang miệng để giúp thuốc tẩy trắng bám đều hơn, răng sau điều trị được đều màu hơn.
- Bước 3: Cách li môi và nướu
Bác sĩ chuẩn bị bộ thuốc tẩy trắng chuyên dụng được dùng riêng cho từng khách hàng và tiến hành đặt các dụng cụ bảo vệ môi – nướu để đảm bảo an toàn trong suốt quá trình điều trị.
Sau khi cách ly mô mềm, bác sĩ sẽ thoa thuốc tẩy trắng lên bề mặt răng và sử dụng đèn kích hoạt để tăng hiệu quả tác động của thuốc. Mỗi lần chiếu đèn kéo dài khoảng 15-20 phút.
Quy trình sẽ được lặp lại tổng cộng 2- 4 lần, bao gồm thoa thuốc và chiếu đèn, nhằm đạt được độ sáng tối ưu và đồng đều trên toàn bộ cung răng.
- Bước 4: Làm sạch khoang miệng
Hoàn tất quá trình tẩy trắng, bác sĩ sẽ làm sạch phần thuốc tẩy còn lại trên răng, đồng thời vệ sinh kỹ khoang miệng để loại bỏ hoàn toàn dư lượng thuốc. Sau đó, tháo bỏ các bông chặn và dụng cụ hỗ trợ trong quá trình tẩy trắng.

Tại sao bạn nên chọn nha khoa Ratio để tẩy trắng răng?
Một hàm răng trắng tạo khác biệt rất rõ khi bạn giao tiếp, đặc biệt trong công việc và những khoảnh khắc cần tạo thiện cảm. Vì vậy, chọn đúng nơi tẩy trắng không chỉ là bước cần thiết để đảm bảo an toàn mà còn là yếu tố quyết định giúp bạn tự tin hơn mỗi ngày.
Tại Nha khoa Ratio, mỗi khách hàng đều được bác sĩ thăm khám kỹ lưỡng để đánh giá men răng, mức độ nhạy cảm và nguyên nhân khiến răng đổi màu trước khi xây dựng phác đồ phù hợp.
Đội ngũ bác sĩ tại đây đều là những chuyên gia có nhiều năm kinh nghiệm, hiểu rõ cách răng phản ứng với từng phương pháp tẩy trắng và luôn theo dõi sát từng bước để đảm bảo an toàn.
Chúng tôi ứng dụng là công nghệ tẩy trắng răng hiện đại, kết hợp cùng thuốc tẩy trắng được chứng nhận FDA, giúp nâng tông răng nhưng vẫn đảm bảo nhẹ nhàng, rút ngắn thời gian điều trị đồng thời hạn chế nhiệt tác động lên men răng.
Không gian tại Nha khoa Ratio được thiết kế tinh tế và sang trọng, mang lại cảm giác thư giãn ngay khi bước vào. Phòng điều trị sạch sẽ, quy trình vô trùng chuẩn và hệ thống máy móc hiện đại giúp khách hàng trải nghiệm buổi tẩy trắng nhẹ nhàng, dễ chịu và yên tâm hơn.
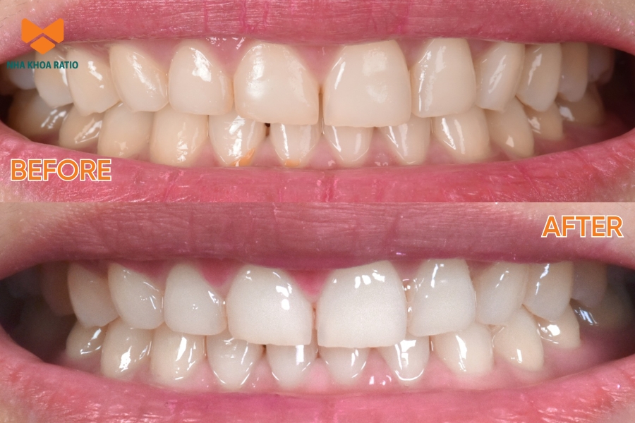
Hiệu quả khi tẩy trắng răng tại nha khoa Ratio
So với các kỹ thuật tẩy trắng truyền thống, nha khoa Ratio ứng dụng công nghệ tẩy trắng răng hiện đại mang lại kết quả rõ rệt hơn với những ưu điểm nổi bật như:
- Răng sáng lên từ 2 đến 3 tone chỉ sau một buổi.
- Toàn bộ quá trình diễn ra trong khoảng 45 đến 60 phút, thao tác nhẹ nhàng và không gây khó chịu.
- An toàn cho men răng, hạn chế ê buốt.
- Không ảnh hưởng đến sức khỏe răng miệng.
- Hiệu quả tẩy trắng duy trì lâu, nếu khách hàng giữ được thói quen chăm sóc răng miệng đúng cách.

FAQs – Câu hỏi thường gặp
Dưới đây là những thắc mắc xoay quanh chủ đề “Tẩy trắng răng” được các bác sĩ nha khoa Ratio giải đáp chuyên môn.
Răng nhiễm Tetracycline có tẩy trắng được không?
Răng nhiễm Tetracycline mức độ nhẹ vẫn có thể tẩy trắng nếu màu chỉ mới bám ở men răng. Tuy nhiên, với trường hợp màu đã ngấm sâu vào ngà răng, phương pháp này không mang lại hiệu quả.
Khi tình trạng Tetracycline nhiễm nặng, các bác sĩ sẽ tư vấn lựa chọn phương pháp thẩm mỹ như bọc sứ hoặc dán sứ veneer để che phủ toàn bộ sắc màu xám sậm và tạo lại vẻ thẩm mỹ cho răng.
Tẩy trắng răng có ê buốt không?
Ê buốt sau khi tẩy trắng răng chỉ là phản ứng tạm thời khi thuốc tẩy làm các ống ngà mở nhẹ, khiến răng nhạy cảm hơn trong một thời gian ngắn. Thông thường cảm giác này sẽ giảm dần sau vài giờ hoặc nhiều nhất là vài ngày.
Khi đến với nha khoa Ratio, bạn hoàn toàn có thể yên tâm về vấn đề này bởi chúng tôi luôn điều chỉnh nồng độ thuốc và kết hợp sản phẩm giảm nhạy cảm để bạn cảm thấy dễ chịu nhất trong suốt quá trình.
KẾT
Tẩy trắng răng tại Nha khoa Ratio mang đến hiệu quả rõ rệt, răng sáng từ 2 đến 3 tone nhờ công nghệ hiện đại và phác đồ cá nhân hóa do bác sĩ trực tiếp kiểm soát. Quy trình an toàn, nhẹ nhàng và phù hợp với nhiều tình trạng răng, giúp bạn lấy lại nụ cười sáng tự nhiên mà vẫn giữ được độ khỏe của men răng.
Nếu bạn muốn cải thiện màu răng một cách an toàn và không ảnh hưởng đến cấu trúc răng thật, hãy liên hệ HOTLINE 0978 89 79 693 để được tư vấn và đặt lịch thăm khám.
NHA KHOA RATIO / RĂNG CHẮC KHỎE – NỤ CƯỜI XINH
- Giấy phép: 08571/HCM-GPHĐ
- Địa chỉ: 391E Trần Hưng Đạo, P. Cầu Ông Lãnh, TP.HCM
- Số điện thoại:0903 89 79 69
- Facebook: https://www.facebook.com/nhakhoaratio.vn





